診療のご案内(予防薬)寄生虫予防(フィラリア・ノミ・マダニ・東洋眼虫)
「手軽さ・簡単さ」よりも「体への負担が少ない方法」を中心にご案内
予防は伴侶動物(愛犬・愛猫)をウイルス、細菌、寄生虫、マダニなどの感染症から守るために行います。これらの予防を行うことで、伴侶動物の健康を維持できるだけでなく、他の犬や猫への感染を広げないことで流行を未然に防いだり、あるいは飼主(人)に感染する可能性がある人獣共通感染症から我々を守ってくれます。ただし、これらの予防にはわずかでありますが副作用というリスクを伴うため、個別に状況(飼育地域・環境、病気の有無)や感染症の影響(重症度、流行性)を顧みて、「個別に、適切で、無駄のない、動物と飼主のための、予防医療」が必要であると我々は考えています。そのため、当院ではできる限りの学術情報を収集し「手軽さ・簡単さ」よりも「体への負担が少ない方法」を中心にご案内しております。
フィラリア(犬糸条虫)
蚊の吸血により、フィラリアの幼虫が体内に侵入し、感染が成立します。放置しておくと成長し、半年ほどで成虫は心臓(肺動脈)に寄生します。多数が寄生すると右心不全を生じ、死に至ることがあります。フィラリア予防薬は、フィラリアの幼虫を殺し、成虫になるのを防ぐお薬です。蚊が吸血しない時期に投薬しても意味がありません。体内に侵入したフィラリアの幼虫(成虫になるには2か月はかかります)を1カ月ほど成長させて、1回の投薬で全て殺してしまうのが最も効率的な方法です。当院の地域では、蚊の活動時期が5月~10月末ですので、投薬する期間は1ヵ月遅れた、6月~11月末になります。
ノミ
ノミには多くの種類がいますが、犬猫に生息するほとんどはネコノミです(人にも吸血します)。野良猫が行動する広い範囲にネコノミは繁殖しているため、お散歩すると拾ってしまい、お家に連れて帰ってきてしまいます。ノミは小さく見つけにくいですが1匹見つけたら、その何十倍もの目に見えない卵や幼虫がいる可能性があるため、予防が最も重要になります。ノミに吸血されると痒みを伴います。通常、症状は軽度なことが多いですが、繰り返し吸血されることで「ノミアレルギー性皮膚炎」となり、全身的に重度の痒みを引き起こすことがあります。また、ノミは、瓜実条虫(猫や犬)や小さな細菌であるリケッチア(猫)を媒介するだけでなく、人に対しても猫ひっかき病という人獣共通感染症の原因となるバルトネラ・ヘンセラエという細菌を保有しています。
マダニ
マダニは昆虫ではなくクモの仲間に属します。マダニは家の中に住むイエダニや痒みの原因となるヒゼンダニなどの目に見えない微小ダニとは異なり、肉眼で見える大型で吸血性のダニを指します。マダニはさまざまな種類が存在し、地域、場所(牧野と林道で異なる)、季節などによって遭遇する可能性があるマダニは異なります。
厚木市七沢公園に多くられるマダニ(佐藤ら2015※1のデータに基づく)
| 種類 | 割合 | 季節性 | 生息場所 | 画像 |
|---|---|---|---|---|
| フタトゲチマダニ | 53% | 若虫は春、成虫は夏にピーク | 牧野 | ![]() |
| オオトゲチマダニ | 33% | 若虫・成虫ともに、夏季を除き通年 | 林道 | |
| キチマダニ | 10% |
※1:佐藤智美ら. 神奈川県厚木市におけるマダニ相および植生調査. Medical Entomology and Zoology. 66, 2 (2015)
当院で犬から見つかるマダニのほとんどはフタトゲチマダニであり、春から夏にかけて草むらの場所で散歩することで体に付着し吸血します。秋・冬であっても林道にはオオトゲチマダニやキチマダニは活動してます。木の生い茂った林道ような場所に行く可能性があれば年中の対策・予防が必要になります。
マダニはさまざまな伝染病を媒介することが知られており、犬ではバベシア症を引き起こします。さらに、人に対しても最近話題になっている重症熱性血小板減少症候群(SFTS)だけではなく、日本紅斑熱、ライム病、回帰熱、ダニ媒介性脳炎を媒介することが知られています。当院のある丹沢山系ではマダニはよく見かけ、お散歩する犬、野良猫などでは体についてきます。そのため、当地域では予防の必要性は他地域よりもかなり高いと考えます。
神奈川県においては、2025年に初めて、人および猫のSFTS感染が推定される地域であることが確認されました。SFTSはこれまで中部地方以西で発生する疾患と考えられてきましたが、次第により東の地域に拡大傾向がみられます。厚木市の七沢公園周辺に多く生息するフタトゲチマダニ、オオトゲチマダニ、キチマダニはいずれもSFTSウイルスを媒介する可能性が知られているマダニの種類です。
日本国内で知られている野外活動に関連するマダニ媒介感染症
2025年11月9日更新
| 疾患名 | 病原体(国内) | 主な発生地域 | 年間報告数 |
|---|---|---|---|
| 日本紅班熱 | Rickettsia japonica | 主に千葉県以西の 太平洋岸 |
506例(2024年) |
| 重症熱性血小板減少症候群 (SFTS) |
フェヌイウイルス科(Phenuiviridae) バンダウイルス属(Bandavirus) |
中部地方以西 (神奈川県が最東) |
122例(2024年) |
| ライム病 | Borrelia garinii, B. afzelii |
主に北海道、 東日本山間部 |
25例(2024年) |
| 回帰熱 | Borrelia miyamotoi | 主に北海道 | 11例(2024年) |
| ダニ媒介性脳炎 (TBE) |
フラビウイルス科 フラビウイルス属 |
北海道 | 1993年1例 2016年1例 2017年2例 2018年1例 2024年2例 |
| エゾウイルス感染症 (エゾウイルス熱) |
ナイロウイルス科 オルソナイロウイルス属 |
北海道 | 2014年1例 2016年1例 2017年2例 2019年1例 2020年2例 |
| オズウイルス感染症 | オルソミクソウイルス科 トゴトウイルス属 |
茨城 | 2022年1例 |
フィラリア・ノミ・マダニのオールインワン予防薬
これらフィラリア、ノミ、マダニに加えおなかの虫をまとめて駆除できるオールインワン薬(内服薬)もあります。オールインワン薬には、良い点と悪い点がありますので、生活スタイルや環境・体調に合わせて、必要なものだけの予防をお勧めいたします。
| × 悪い点 |
◎ 良い点 |
|---|---|
| ●外用薬よりも身体への薬剤の影響が強くなる ●慢性疾患やアレルギー、成長期や高齢では使用できないこともある ●昆虫に吸血されないと作用しない |
●皮膚につける薬が苦手な場合、使いやすい ●飲み薬1つなので、とても簡単 |
東洋眼虫
東洋眼虫(Thelazia callipaeda)は、犬、猫、野生動物、まれにヒトの眼に寄生する線虫で、涙液を吸うショウジョウバエ科のマダラメマトイ(Phortica okadai)などが媒介します。
かつては九州など西日本を中心にみられていましたが、近年は関東以北にも分布が拡大しており、神奈川県内でも感染例が散見されています。当院でも、2021〜2024年の4年間に13例を経験しています(小島ら, 2025)※2。
※2:小島 健太郎 ら. 神奈川県山間部でみられた犬の東洋眼虫症13例(2021~2024年). 日本獣医師会雑誌. 掲載予定
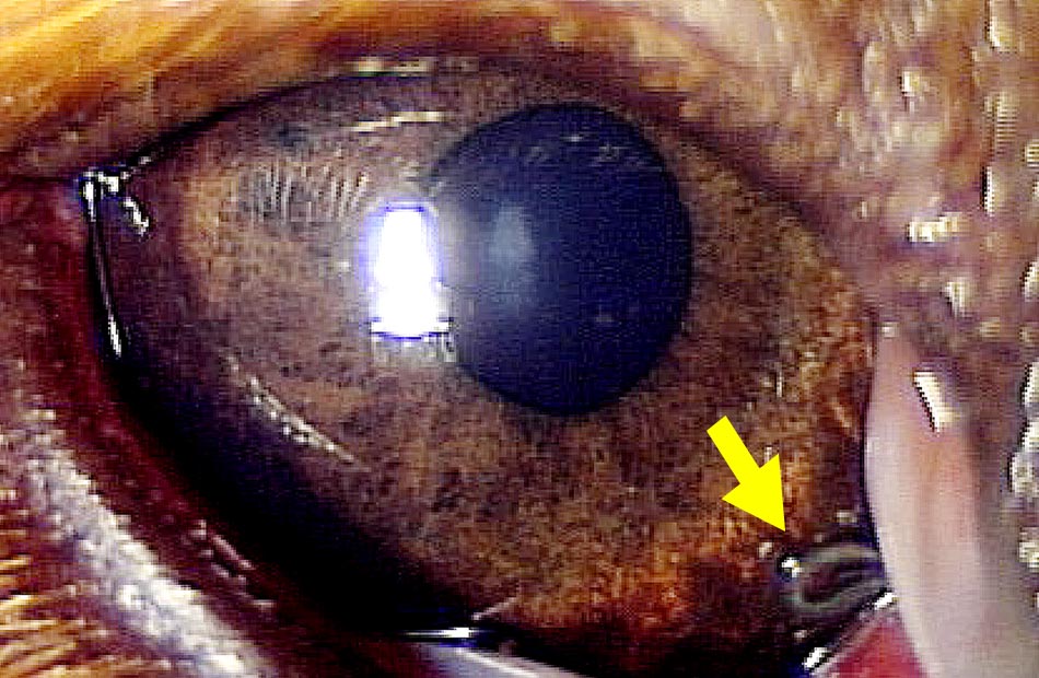
犬の眼に寄生する東洋眼虫(Thelazia callipaeda)(矢印)
(写真提供:横浜どうぶつ眼科)
疫学
マダラメマトイが分布する森林や低山に居住している動物は感染しやすいです。メマトイが活動する春から秋にかけて感染が起こりやすいですが、症状が出るまでに時間を要する場合もあります。
当院のある神奈川県山間部では、野生動物(アライグマ、タヌキなど)を介して流行が拡大している可能性があります。当院に来院した犬における年間平均罹患率は0.26%であり、高齢犬や大型犬で感染しやすい傾向がみられました。
当院で東洋眼虫症と診断した犬13例の地理的分布。標高104mの山間部にある当院の位置(×)と東洋眼虫症と診断された犬の居住地(〇)。
症状
涙や目やにが増える(流涙、眼脂)、眼をしょぼしょぼさせる(羞明)、結膜が腫れる(結膜炎)などの症状がみられます。
これらの症状が通常の点眼治療で改善せず、メマトイの分布地域への居住歴や旅行歴がある場合には、東洋眼虫症の可能性を考慮する必要があります。
診断と治療
眼科検査で虫体を確認し、局所麻酔下で生理食塩水を用いて結膜を洗浄して摘出します。寄生数が多い場合や完全に取り切れない場合には、駆虫薬を併用します。
予防
海外では、犬に対してフィラリア予防薬で高い有効性(83~100%)が報告されています。日本でも、2025年6月20日に駆虫薬「シンパリカトリオ®」の適応に「東洋眼虫の寄生予防」が追記されました。
ただし、当院で東洋眼虫症と診断した犬13例のうち5例はフィラリア予防薬の投薬中に感染しており、これらの薬剤には一定の予防効果が期待されるものの、完全な防御を保証するものではありません。
最も重要な感染予防は、室内飼育の徹底やメマトイとの接触を避けること(眼や顔まわりに寄るハエに注意する)と考えられます。当院で東洋眼虫症と診断した犬13例のうち10例は室内飼育であったことから、散歩時にはメマトイが多い森林や低山地帯を避けるよう注意が必要です。
犬における東洋眼虫症予防のための犬糸状虫症予防薬の有効性に関する報告
| 文献 | 国 | 使用された国内同製品 (東洋眼虫症予防の効能) |
有効薬剤名 | 種類 | 投与期間 | 症例数 | 有効率 |
|---|---|---|---|---|---|---|---|
| Lebon (2019)※3 |
フランス スペイン |
ネクスガードスペクトラ (適応外) |
ミルベマイシンオキシム | 内用薬 | 6ヵ月 | 37 | 100% |
| Marino (2021)※4 |
スペイン | 商品名は非公表 | ミルベマイシンオキシム | 内用薬 | 通年 | 30 | 83% |
| モキシデクチン | 注射薬 徐放製剤 |
25 | 100% | ||||
| モキシデクチン | 外用薬 | 46 | 93% | ||||
| イベルメクチン | 点眼 | 32 | 88% | ||||
| Bezerra-Santos (2022)※5 |
イタリア フランス |
シンパリカトリオ(適応) |
モキシデクチン | 内用薬 | 6ヵ月 | 58 | 100% |
※3:Lebon W et al. Prevention of canine ocular thelaziosis (Thelazia callipaeda) with a combination of milbemycin oxime and afoxolaner (Nexgard Spectra®) in endemic areas in France and Spain. Parasite. 26: 1 (2019) PMID: 30644355
※4:Marino V et al. Update on the treatment and prevention of ocular thelaziosis (Thelazia callipaeda) in naturally infected dogs from Spain. Int J Parasitol. 51: 73-81 (2021) PMID: 33091413
※5:Bezerra-Santos MA et al. Efficacy of a formulation of sarolaner/moxidectin/pyrantel (Simparica Trio®) for the prevention of Thelazia callipaeda canine eyeworm infection. Parasit Vectors. 15: 370 (2022) PMID: 36244989
猫における東洋眼虫症予防のための駆虫薬の有効性に関する報告
| 文献 | 国 | 使用された国内同製品 | 有効薬剤名 | 種類 | 投与期間 | 症例数 | 有効率 |
|---|---|---|---|---|---|---|---|
| Marino (2021)※6 |
スペイン | 商品名は非公表 | モキシデクチン | 外用薬 | 通年 | 4 | 100% |
※6:Marino V et al. Feline thelaziosis (Thelazia callipaeda) in Spain: state-of-the-art and first prophylactic trial in cats. J Feline Med Surg. 23: 1117-1128 (2021) PMID: 33719674

